您是第 16833896 位 欢迎访问 中乔新舟官网 ! 全国免费电话:400-038-9959 我的购物车(0) 注 册 / 登 录
扫码关注公众号
您当前的位置:首页 > 产品中心

3D网络结构检测试剂盒

英文名:3D Network Formation Assay Kit
货号:8718
价格:¥14368.00
加入购物车,提交订单信息之后,我们会第一时间与您取得联系!
  • 产品说明
  • 产品规格
  • 参考文献
  • STR鉴定

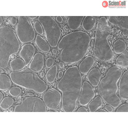
3D网络结构检测试剂盒 描述:


        ScienCell三维网络结构检测试剂盒非常适用于分析网络形成与吻合的复杂情况(包括胶原支架成分,内皮细胞,培养液和分析培养液)



产品使用说明:仅供科研研究使用

货号

8718

产地

美国

缩写

3D-NF

规格


用途

科研

保存

液氮

运输

干冰

There are no product questions yet.
公司简介 / Company profile
上海中乔新舟生物科技有限公司
Shanghai Zhong Qiao Xin Zhou Biotechnology Co.,Ltd.
      上海中乔新舟生物科技有限公司(官网:www.zqxzbio.com)成立于2011年,历经十多年发展,...
联系我们 / Contact
电 话:021-56760357;021-56760351
邮 箱:sales@zqxzbio.com
邮 编:200439
地 址:上海市宝山区长江南路180号
Copyright © 2014 ZQXZBIO All rights reserved. 网站地图

沪公网安备 31011002001038号

技术支持:中乔新舟 沪ICP备14008091号